Breast Density
What is breast density?
Density measures the amount of fatty, glandular and fibrous tissue in the breast. A dense breast consists of more glandular and fibrous tissue than fat. It is not a measure of breast firmness; therefore, a mammogram is the only way to determine your density. Dense tissue is relatively common and found in more than forty percent (40%) of women.
Why is breast density important?
The presence of dense tissue may make it more difficult to detect abnormalities in the breast and can be associated with an increased risk of breast cancer. Dense tissue appears white on a mammogram, which can obscure the presence of lumps (cancerous and noncancerous). Since lumps also appear white on a screening mammogram, supplemental imaging exams may be beneficial for women with dense breasts.
How do I find out if I have dense breasts?
A mammogram is used to identify breast density. The radiologist reading your mammogram will determine your density based on a four-level scale (A, B, C, D) approved by the American College of Radiology. The Breast Density Notification and Awareness Bill, approved by North Carolina legislation, requires all mammography providers to inform women of their breast density level as interpreted on their mammogram. This information will be included in the mammography report sent to you and your physician. Breast density is assessed each year and may vary based on radiologist interpretation, as well as naturally occurring changes in breast tissue.
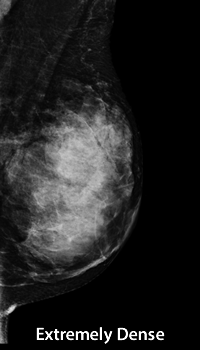
A 4-level scale is used to categorize breast density:
Screening for women with dense breast tissue - Heterogeneously Dense (C) or Extremely Dense (D)
These breast tissue types are associate with increased risk for breast cancer because cancers can remain hidden. Women with dense breast tissue should continue having annual mammograms. Mammograms are the only medical imaging exam proven to reduce breast cancer deaths. Women with dense breasts should discuss with their physician whether supplemental imaging should be considered.
Charlotte Radiology offers the following exams to further evaluate dense tissue:
- 3D mammography (also known as digital breast tomosynthesis) is an imaging technology that creates multiple images or "slices" of the breast tissue, providing better visualization of breast abnormalities, in particular for women with dense breasts.
- Screening Breast Ultrasound, Breast MRI, and Abbreviated Breast MRI are advanced imaging exams that can improve breast cancer detection in women with dense breasts and have been shown in clinical studies to be effective when used in combination with mammography.
Screening for women without dense breast tissue – Fatty (A) or Scattered Fibroglandular (B) Density
Women without dense breast tissue should continue having annual mammograms. These breast tissue types are relatively easier to evaluate for breast cancer through mammography and are not considered to be independent risk factors. Mammograms are most effective at detecting breast cancer in women that have mostly fatty breast tissue. Therefore, guidelines recommend annual 3D screening mammograms along with monthly self-breast exams and yearly breast exams by your physician.
